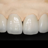
Full Zirconia Crown
High Strength - Precision Fit - LongTerm Performance - Reliable Esthetics
Eliminating the risk of porcelain chipping associated with layered ceramics.
At Edentalab, case selection is guided by both esthetic and functional demands. Each crown is meticulously designed to match the patient’s natural tooth shade and morphology, ensuring comfort, function, and a confident smile.
Normal monolithic zirconia is recommended for posterior restorations and high-stress occlusal areas requiring superior strength and longevity. In contrast, high-translucent monolithic zirconia is ideal for anterior or visible regions, where natural light transmission and shade matching are critical.
Key Benefits:
- Superior strength and fracture resistance
- Precise digital fit with minimal adjustment
- Biocompatible and metal-free
- Suitable for both single crowns and long bridges, implant restorations
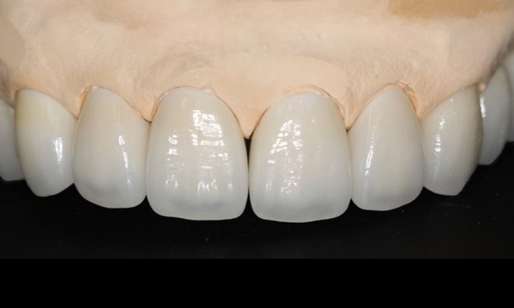
Layered Zirconia Crown
Superior Esthetics - Natural Translucency - Artistic Precision
At Edentalab, our Layered Zirconia Crowns combine the strength of a zirconia substructure with the beauty of hand-applied porcelain. This hybrid design provides both mechanical reliability and lifelike esthetics that mimic the natural dentition’s translucency, texture, and vitality. . deliver the ultimate esthetic outcome — ideal for cases requiring lifelike texture, shade depth, and light reflection.
Each restoration begins with a CAD/CAM-milled zirconia coping, ensuring an accurate marginal fit and stable core strength. Skilled ceramists then apply feldspathic or nano-ceramic porcelain layers to achieve natural color gradation, surface texture, and fluorescence that match adjacent teeth with exceptional realism
Key Advantages
- Superior esthetics with customizable surface characterization
- High strength core prevents distortion and marginal fracture (Core 1100-1200 MPa) / porcelain layer- variable)
- Natural light reflection and shade blending
- Biocompatible and metal-free
- Ideal for high-value anterior restorations
Comparison: Normal Monolithic Zirconia vs High-Translucent vs Layered Zirconia
| Feature | Normal Monolithic Zirconia | High-Translucent Monolithic Zirconia | Layered Zirconia Crown |
| Flexural Strength | 1100–1350 MPa | 700–1100 MPa | Core 1100-1200 MPa) / porcelain layer- variable |
| Composition | 3Y-TZP (tetragonal zirconia) | 4Y/5Y-TZP (cubic-phase zirconia) | 3Y or 4Y zirconia coping with feldspathic porcelain layering |
| Translucency | Low to medium | High translucency (natural enamel-like) | Very high due to veneering porcelain |
| Esthetics | Opaque, high-value shade | Natural translucency with smooth gradient | Superior esthetics with full custom characterization |
| Wear Resistance | Excellent | Very good, enamel-friendly | Good; veneering porcelain may wear faster |
| Chipping Risk | Very low (fully monolithic) | Low (still monolithic, but softer matrix) | Higher risk at porcelain interface |
| Best Indication | Posterior crowns, bridges, implant frameworks | Anterior crowns, veneers, visible zones | Premium anterior restorations requiring detailed esthetics |
| Shading & Coloring | Internally colored or surface-stained | Multi-layer gradient shading | Hand-layered porcelain for individual customization |
| Cementation | Conventional or resin-based | Prefer resin-based | Resin or adhesive (depending on porcelain interface) |
| Longevity | Very high in high-stress areas | Long-term durability in medium-stress zones | Excellent esthetics, moderate mechanical resistance |
| Fabrication Workflow | Full CAD/CAM | Full CAD/CAM | CAD zirconia core + manual porcelain layering |
| Clinical Priority | Strength and function | Strength with esthetics | Premium esthetics with artistic detailing |

