10.8522473,106.6287463

Why us

About Us

About Us

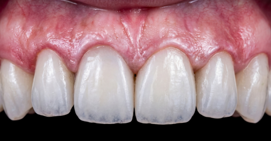
At our Sydney-based dental laboratory, we specialize in crafting high-quality crowns and bridges – Implant that combine precision, durability, and aesthetics. With over 30 years of experience, our skilled technicians use advanced technology and proven techniques to deliver restorations that meet the highest standards. Whether it’s a single crown, multiple units, or complex bridgework, we ensure every restoration offers a perfect fit, natural look, and lasting strength in reasonable price. We partner with well-known university professor of Periodontists, and Prosthodontists to provide high-quality consulting and individualized dental solutions that meet the highest clinical standards, ensuring every case supports predictable outcomes, functional excellence, and patient satisfaction with a natural appearance.
Our Team

Our Team

With over 30 years of expertise, our master dental ceramists combine First Class Honours qualifications from Sydney with teaching experience in dental technology and experience working in leading dental hospitals and universities. Dedicated to bringing smiles to life that meet the unique needs of both dentists and patients, we are committed to continuous learning and use advanced digital and traditional state-of-the-art techniques to deliver precise, reliable, and naturally aesthetic restorations in every case.
Our Vision

Our Vision

Your patients’ smiles, your success — our passion and purpose At Edentalab, we don’t just make restorations — we design smiles where technology meets artistry in dentistry, reflecting each patient’s individuality and confidence.

COMPANY NAME

COMPANY NAME

What's App
Zalo

Hotline: 0449753789