COMPANY NAME
COMPANY NAME
0492916060
https://edentalab.com.au
10.8522473
,
106.6287463
More Than Just A Smile
info@edentalab.com.au
0492916060 - 0449753789
Contact
Login
A new customer
Lab Sheet
Home
Why us
About Us
Our Team
Our Vision
Products
Digital service
Useful information
Crown impresion technique
Scanning for implant restoration
Cementation Instructions E.max Crown & Veneer
CBCT Scan Export Instructions
All-on-X Case Preparation Workflow
All Ceramic Suggested Preparation
Photo
TESTIMONIAL
PHOTO
Home
Why us
Products
Digital service
Useful information
Photo
Home
Why us
About Us
Our Team
Our Vision
Sản phẩm
Digital service
Useful information
Crown impresion technique
Scanning for implant restoration
Cementation Instructions E.max Crown & Veneer
CBCT Scan Export Instructions
All-on-X Case Preparation Workflow
All Ceramic Suggested Preparation
Photo
TESTIMONIAL
PHOTO
Contact
Tân Thành Dental Company
Home
Gallery
PHOTO
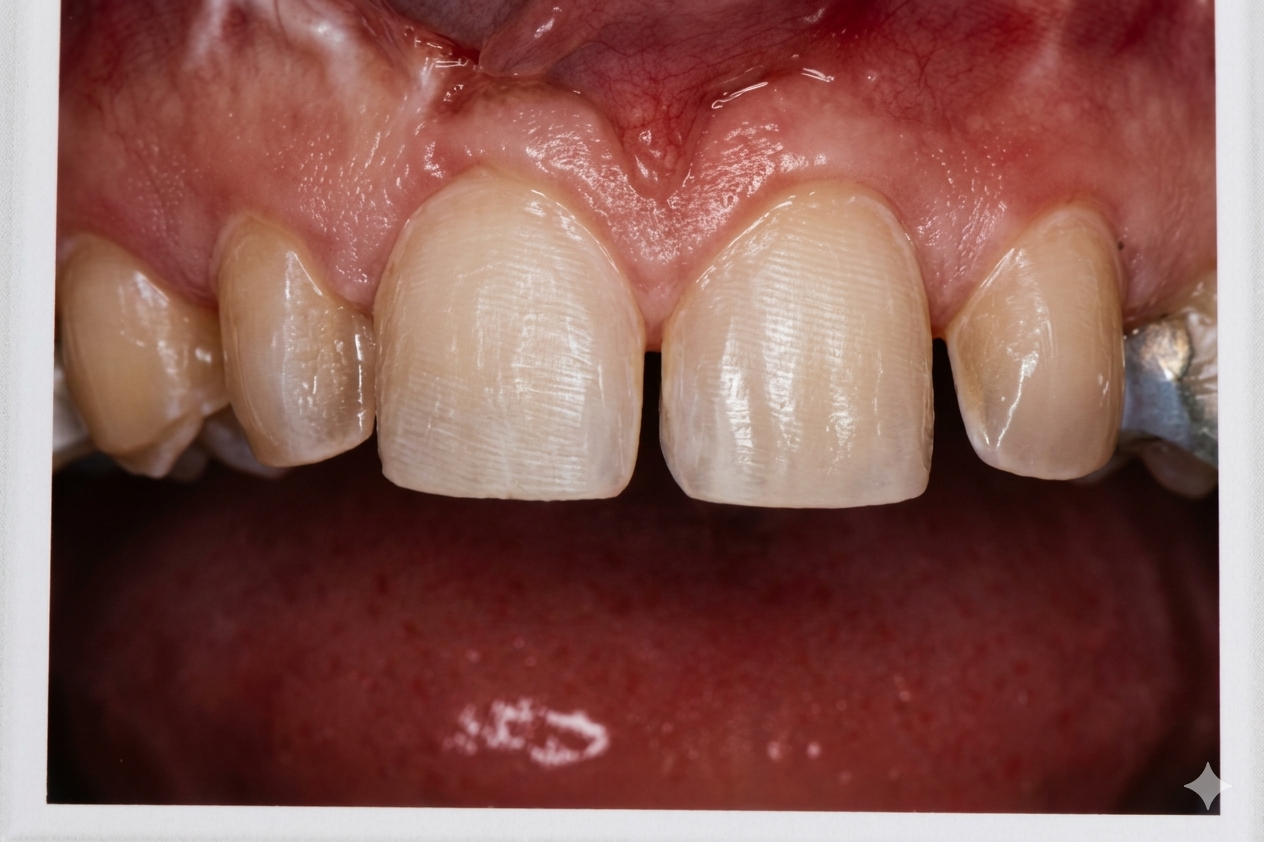
crown lenthening
crown lenthening
Views:
84
1
Hotline: 0449753789